
Piekny uśmiech i zadowolenie naszych Klientów najlepiej
świadczy o naszej pracy.
Zapraszmy serdecznie do obejrzenia jej efektów.
| Przed wykonaniem zabiegu | Po wykonaniu zabiegu | |

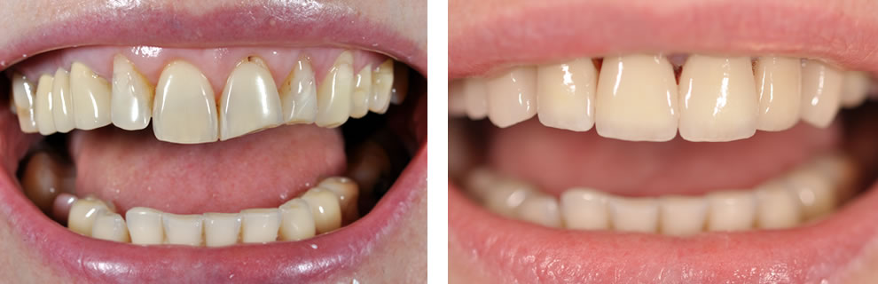
Zdjęcie przedstawia wykonanie licówek.

Zdjęcie przedstawia wykonanie licówek.

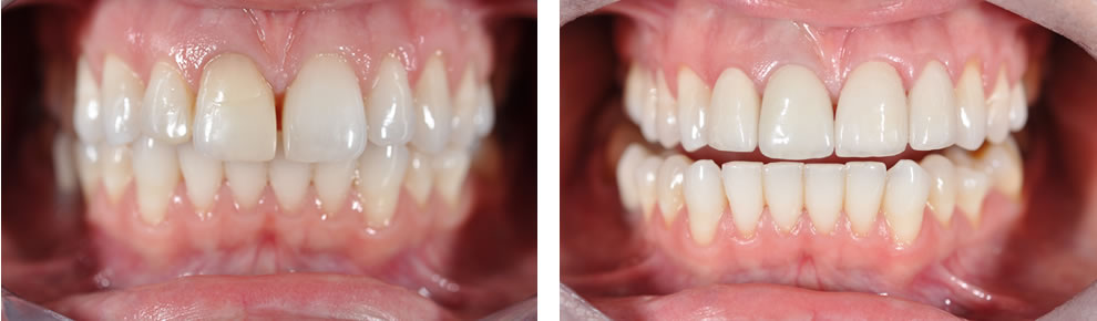
Zdjęcie przedstawia wykonanie mostu.

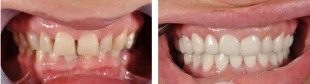
Zdjęcie przedstawia wykonanie koron.

Zdjęcie przedstawia wykonanie koron.

Zdjęcie przedstawia wykonanie koron.

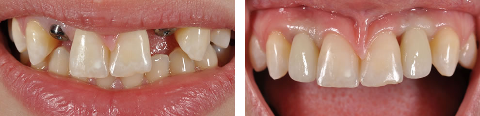
Zdjęcie przedstawia wykonanie koron na implanatach.
