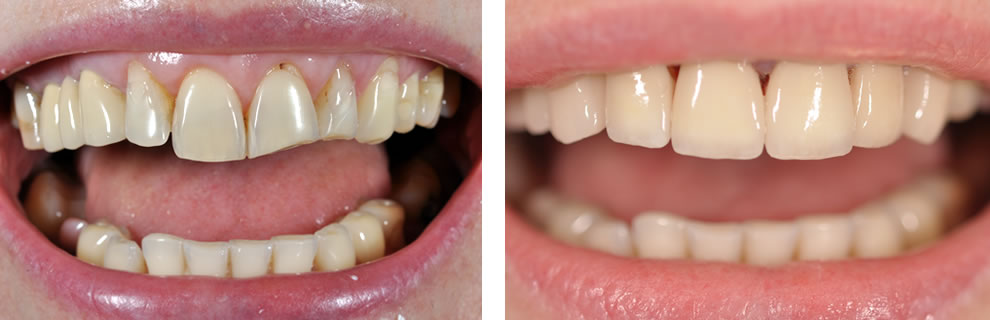
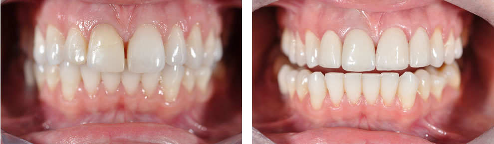
Licówki
Licówki to rodzaj uzupełnień przyklejanych do powierzchni naturalnych zębów pacjenta. Są one stosunkowo mało inwazyjne i w znaczący sposób poprawiają estetykę uśmiechu. Dają one możliwość odbudowy zęba po drobnych urazach, ukruszeniach, maskują przebarwienia, zmieniają kolor oraz wpływają na kształt zęba- wydłużając go lub poszerzając. Przed założeniem licówek niezbędne jest przeprowadzenie szczegółowej analizy zgryzu, gdyż nie u każdego istnieje możliwość założenia ich.
| Przed wykonaniem zabiegu | Po wykonaniu zabiegu | |


